Teeth Grinding (Bruxism): Causes, Effects & Treatment in Hyderabad
Do you wake up with jaw pain, headaches, or notice your teeth are worn down? You might be grinding your teeth at night—a condition called bruxism. Teeth grinding is more common than many Hyderabad residents realize, and if left untreated, it can cause significant dental damage. At Infinite Smiles, our team in Banjara Hills has helped countless patients manage bruxism and protect their smiles.
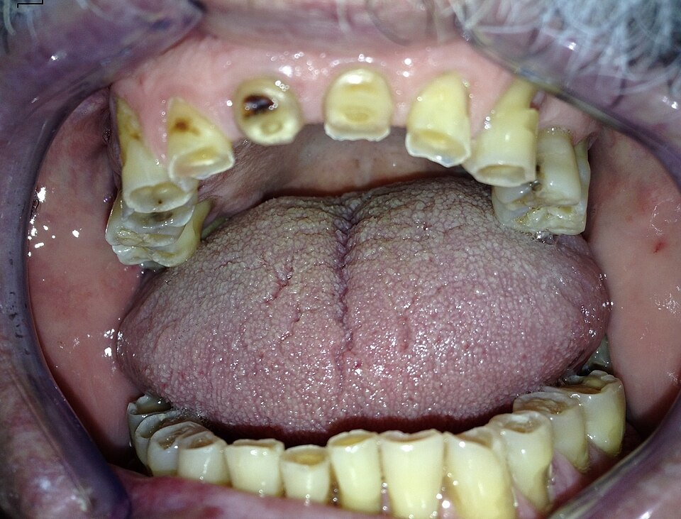
What Is Teeth Grinding (Bruxism)?
Bruxism is the involuntary grinding or clenching of teeth, usually during sleep (sleep bruxism) or during stress (awake bruxism). Many people grind their teeth without knowing it, making early detection difficult. The condition affects approximately 1 in 4 adults in India, particularly those living in high-stress environments like Hyderabad’s fast-paced IT sector.
Common signs include:
- Worn, flat, or chipped tooth surfaces
- Morning jaw pain or stiffness
- Headaches upon waking
- Loud grinding sounds at night (reported by partners)
- Sensitive teeth (due to enamel wear)
- Facial or ear pain
Causes of Bruxism in Hyderabad
Several factors contribute to teeth grinding:
- Stress and anxiety: Work pressure and deadlines are major triggers in Hyderabad’s tech-driven environment
- Sleep disorders: Sleep apnea and insomnia increase grinding frequency
- Caffeine and alcohol: Excessive consumption exacerbates bruxism
- Misaligned bite: Crowded or misaligned teeth increase grinding tendency
- Medications: Some antidepressants and ADHD medications can trigger bruxism
- Genetics: If your parents grind their teeth, you’re more likely to as well
If you experience high stress working in HITEC City, Kondapur, or other Hyderabad business districts, bruxism risk is elevated.
Effects of Untreated Bruxism
Prolonged teeth grinding can lead to:
- Enamel erosion: Permanent loss of protective tooth coating
- Tooth fractures: Existing fillings and crowns may crack
- Gum recession: Aggressive grinding can damage gum tissue
- TMJ disorder: Stress on the temporomandibular joint causes chronic pain
- Bite problems: Grinding alters your natural bite over time
- Expensive dental work: Damage repair requires crowns, root canals, or implants (₹20,000+)
Early intervention at Infinite Smiles in Banjara Hills can prevent these complications.
Bruxism Treatment Options
1. Night Guard (Occlusal Splint)
The most common and effective treatment is a custom-fitted night guard. Unlike over-the-counter options, we create a personalized guard that fits your teeth perfectly and protects against grinding damage. Cost: ₹8,000–₹15,000. Lasts 3–5 years.
2. Stress Management
Since stress is a primary trigger, therapy, yoga, or meditation can reduce grinding frequency. Many of our patients in Hyderabad’s corporate sector benefit from these complementary approaches.
3. Bite Correction
If misalignment contributes to bruxism, orthodontic treatment (clear aligners or braces) can resolve the issue. At Infinite Smiles, we offer affordable clear aligner options (starting at ₹50,000 for full treatment).
4. Lifestyle Changes
- Reduce caffeine intake after 2 PM
- Limit alcohol consumption before bed
- Avoid hard and chewy foods
- Practice relaxation techniques before sleep
5. Treatment of Underlying Sleep Disorders
If sleep apnea is diagnosed, treatment from a sleep specialist often reduces grinding.
Cost of Bruxism Treatment in Hyderabad
Night guard creation: ₹8,000–₹15,000 (one-time investment)
Subsequent replacements: ₹5,000–₹10,000
Clear aligner therapy: ₹50,000–₹1,50,000
Restorative dental work (if damage exists): ₹15,000–₹50,000+ per tooth
Early treatment with a night guard prevents expensive restorative work later.
Why Choose Infinite Smiles for Bruxism Management?
Our team at Srinagar Colony, Banjara Hills, has over a decade of experience treating bruxism in Hyderabad residents. We combine night guard therapy with stress counseling and bite correction for comprehensive care. Every patient receives a custom treatment plan addressing their specific grinding pattern and underlying causes.
Book your bruxism consultation at Infinite Smiles, Srinagar Colony, Banjara Hills — call us or WhatsApp +91-93927-47123
Source: Learn more about bruxism from the WHO Oral Health resource centre.
Our Dental Services in Banjara Hills, Hyderabad
Explore our comprehensive dental treatments at Infinite Smiles:
- Dental Implants in Hyderabad — permanent tooth replacement with titanium implants
- Root Canal Treatment in Hyderabad — painless single-sitting RCT
- Teeth Whitening in Hyderabad — professional laser whitening up to 8 shades
- Dental Clinic in Banjara Hills — your trusted neighbourhood dentist