Smile Makeover: Complete Smile Design & Cost in Hyderabad
Your smile is one of the first things people notice about you. If you’ve been self-conscious about misaligned teeth, discoloration, or gaps, a smile makeover might be the solution. At Infinite Smiles in Banjara Hills, Hyderabad, we design beautiful, natural-looking smiles tailored to your face shape and personality. Whether you need cosmetic work, orthodontics, or a combination of treatments, we’ve helped patients transform their confidence.
What Is a Smile Makeover?
A smile makeover is a comprehensive cosmetic dentistry plan that improves the appearance of your smile. Unlike single treatments (like whitening alone), a smile makeover may combine:
- Teeth whitening: Professional bleaching for brighter teeth
- Clear aligners or braces: Straightening crooked or crowded teeth
- Cosmetic bonding: Filling gaps and reshaping teeth
- Veneers: Porcelain shells for severely discolored or shaped teeth
- Crowns: Restoring damaged or worn teeth
- Gum contouring: Reshaping gum line for better proportions
- Dental implants: Replacing missing teeth
Each plan is customized after our dentists assess your current bite, tooth shape, face structure, and aesthetic goals.
Smile Makeover Process at Infinite Smiles
Step 1: Digital Smile Design (DSD)
Using advanced digital imaging, we show you a preview of your new smile before any treatment begins. This technology, popular in high-end cosmetic practices worldwide, lets you visualize results and approve the plan.
Step 2: Custom Treatment Plan
Based on your goals and budget, we create a phased treatment timeline. For example:
- Phase 1 (Months 1–2): Teeth whitening + bonding
- Phase 2 (Months 3–12): Clear aligner therapy
- Phase 3 (Month 13): Veneer or crown placement if needed
Step 3: Treatment Execution
Our team performs each procedure with precision, ensuring your smile develops beautifully over the timeline.
Step 4: Maintenance & Follow-up
After your makeover, we provide custom care instructions and regular checkups to protect your investment.
Smile Makeover Cost in Hyderabad
Costs vary based on complexity and the number of treatments. Here’s a breakdown:
- Teeth whitening: ₹5,000–₹15,000
- Cosmetic bonding per tooth: ₹3,000–₹8,000
- Clear aligners (full treatment): ₹50,000–₹1,50,000
- Porcelain veneers per tooth: ₹12,000–₹25,000
- Dental crowns per tooth: ₹15,000–₹30,000
- Gum contouring: ₹10,000–₹20,000
- Dental implants (implant + crown): ₹50,000–₹90,000
A comprehensive smile makeover combining whitening, aligners, and bonding typically costs ₹1,00,000–₹3,00,000. Many of our patients in Banjara Hills and across Hyderabad spread costs across 6–12 months using our payment plans.
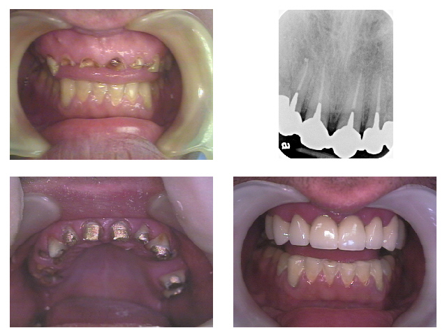
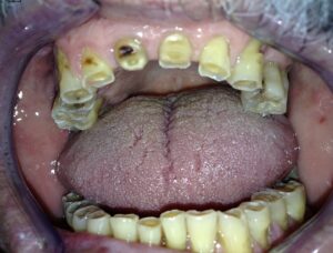
Case Studies: Real Transformations at Infinite Smiles
Patient A: Corporate Professional with Stained Teeth
Treatment: Whitening + cosmetic bonding (2 weeks total)
Cost: ₹20,000
Result: Brighter smile, restored confidence for client presentations
Patient B: Crowded Teeth & Bite Issues
Treatment: Clear aligners (12 months)
Cost: ₹90,000
Result: Straight teeth, improved bite, no metal braces
Patient C: Mixed Cosmetic & Restorative Needs
Treatment: Whitening + 2 veneers + crown replacement + gum contouring (4 months)
Cost: ₹75,000
Result: Celebrity-like smile, perfect symmetry
Why Smile Makeovers Work
Research shows that an improved smile boosts confidence, social interactions, and even career prospects. Patients report:
- Increased willingness to smile in photos
- Better self-esteem in professional settings
- Improved relationships and social connections
- Higher motivation for oral hygiene maintenance
For Hyderabad residents—especially those in competitive fields like IT, finance, and hospitality—a smile makeover is an investment in personal and professional growth.
Financing Your Smile Makeover
We understand that comprehensive smile work is a significant investment. At Infinite Smiles, we offer:
- Interest-free EMI plans (3–12 months)
- Phased treatment to spread costs
- Transparent pricing with no hidden charges
Book your smile makeover consultation at Infinite Smiles, Srinagar Colony, Banjara Hills — call us or WhatsApp +91-93927-47123
Source: Read about smile design standards at the Indian Dental Association.
Our Dental Services in Banjara Hills, Hyderabad
Explore our comprehensive dental treatments at Infinite Smiles:
- Dental Implants in Hyderabad — permanent tooth replacement with titanium implants
- Root Canal Treatment in Hyderabad — painless single-sitting RCT
- Teeth Whitening in Hyderabad — professional laser whitening up to 8 shades
- Dental Clinic in Banjara Hills — your trusted neighbourhood dentist